Што можам да очекувам од минимално инвазивна естетска реконструкција?
Денешното време диктира високи критериуми за естетика во сите сфери. Естетиката стана задолжителна, рака под рака со брзото темпо на живот и здравите животни навики.
Всушност, кога зборуваме за забите – УБАВИ заби и убава насмевка се секогаш асоцијација и за ЗДРАВИ заби.
Паралелно со оваа трка по висока естетика, неверојатно интензивно напредува и технологијата на дигитални алатки и материјали со што стоматолозите денеска, повеќе од било кога, можат да се доближат до идеалните критериуми за убави заби.
Пациентите секојдневно ни се обраќаат со барање за естетско решение на некој помал проблем или пак целосно естетско реконструирање на насмевката. Наша задача е овие барања да ги пресретнеме со минимална или без инвазија на здравите ткива, затоа што денеска ДЕНТАЛНАТА ЕСТЕТИКА мора да биде МИНИМАЛНО ИНВАЗИВНА!
Кои се најчестите естетски проблеми кои им пречат на пациентите и како ги решаваме?
Белење
Потемнети заби или природно потемни заби се бр.1 причина за барање естетска интервенција. Од истата причина професионалното белење е најчеста процедура во естетската стоматологија во светски рамки, со што во само една посета може да постигнеме и до 9 нијанси посветли заби. Ендодонтски третираните заби (“умртвените заби”) се потемнети како резултат на претходно крварење во внатрешноста на забот, но и од најразлични материјали кои се користат за дезинфекција и полнење на каналот. Овие заби е невозможно да се избелат со стандардно професионално белење, туку подлегнуваат на посебна процедура за внатрешно белење.
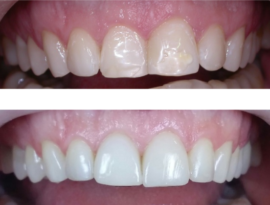
Порцелански / композитни фасети

Понекогаш белењето не може да ја даде најсветлата нијанса на природните заби, или пак тие со возраста добиваат потемнети линии и микропукнатини, изабеност – скратување на секалниот раб и сл. што не може да се реши со белење. Во тие случаи на пациентите им нудиме целосна корекција на формата и бојата на забите и забниот низ, покривајќи ги со ултра тенки порцелански луспи (ЛУМИНЕЕРС). Нивната дебелина изнесува 0.3мм и често за нивно поставување не е потребно воопшто одземање на забна маса, односно не е потребно стругање на забите. Сепак, во случаи каде сретнуваме поголема искривеност на забите, минимално стругање е неопходно.
Минимално инвазивните порцелански фасети имаат исклучителен сјај и транспарентност со што досега најмногу се доближуваат до природниот ефект на здрава глеѓ.
Единствена негативна страна на овој тип фасети е нивната висока цена која се должи на исклучително сложената постапка и материјалите потребни за изработка. Но, сепак кога пациентот не е во можност да инвестира во ваква скапа реконструкција, на располагање ни стојат КЛАСИЧНИТЕ порцелански фасети, кои имаат нешто поголема дебелина (почнуваат од 0.5мм) и за чие поставување сепак е потребно минимално состругување на забите. Сите естетски карактеристики кои ги добиваме со Луминеерс можеме да ги добиеме и со класичните порцелански фасети.
Едно од најдостапните решенија за естетско реконтурирање на насмевката во случаи кога имаме лимитиран буџет и кусо време на располагање се ДИРЕКТНИТЕ КОМПОЗИТНИ ФАСЕТИ. Естетските принципи можеме да ги примениме и со употреба на композитен материјал директно на забите, со претходно добро планирање и изработка на истите од восок на гипсен модел. Потоа со помош на силиконски клуч, како со водич овие пропорции ги пренесуваме во устата на пациентот. Трајноста и сјајот на овие фасети се со пократок век, за разлика од порцеланските фасети. Сепак нивните позитивни карактеристики се тоа што најчесто нема потреба од дополнително стругање на забите, се изработуваат во една посета и цената е прилично достапна за секого.

Кога пациентот ќе се јави на консултација за естетска корекција на насевката, она на кое најмногу обрнуваме внимание е темелен разговор во кој ние ќе разбереме точно кои аспекти сака тој да ги промени, но и ние да му посочиме кои параметри е добро да се коригираат во истата реконструкција. Нашиот успех и задоволството на пациентот најмногу зависат од овој темелен и посветен разговор. Во следните фази користиме неколку различни методи како што е дентална фотографија, восочни фасети, „mock up” директно во устата на пациентот и сл. со што се осигуруваме дали сме на вистинската патека за постигнување на успешен резултат кој ќе го одобри и пациентот пред да ги добие финалните фасети.

Спец. по стоматолошка протетика

